楼凤阁论坛官网入口_夜来香论坛官网_楼凤阁万花楼论坛_全国51茶楼信息网51龙凤茶楼论坛网

动物大观      首页 > 科学普及 > 科普文章 > 动物大观
铁甲依然在,巴呆依然爱
2019-11-19 来源: 兽类生态与进化组 作者: 李权

  前两日,有朋友发来热播电视剧《九州缥缈录》中的一个片段,让我认一认男主角阿苏勒养的一只小飞鼠“巴呆”。我一看,这不就是最近正在研究的西伯利亚飞鼠嘛。 

  西伯利亚飞鼠(Pteromys volans)是鼯鼠中的一种。这种飞鼠广泛分布于欧亚大陆北部的森林中,我国东北地区和新疆北部也有野生种群分布。提到鼯鼠,不久前媒体刚报道了科学家发现高黎贡比氏鼯鼠新种,今天我们就把话题扩大一点,概述一下所有现生的滑翔哺乳动物。 

  虽然看起来像,但其实是四类非常不同的动物 

  我们先来看一下图1中的四个小动物。是不是觉得它们虽然毛色有些许不同,但整体上还是挺像的:都是松鼠一样的身躯,在身体侧面又长出了“肉翅”。 

  其实,这四个动物分别进化自非常不同的祖先:A是主要分布于大洋洲的滑翔有袋类(Gliding Marsupials);B是广泛分布于欧亚大陆和北美森林地带的鼯鼠(Flying Squirrels); C是东南亚特有的鼯猴(Colugos);D是非洲中西部特有的鳞尾松鼠(Scaly-tailed Flying Squirrels)。 

  它们外貌相似是因为都选择了“夜行、树栖、滑翔”这条路子,趋同进化的结果。就好比鱼龙、鲨鱼、海豚这三类完全不同的动物为了适应海里高速游泳的生活,都长出了纺锤形的身躯;为了抓住湿滑的鱼,又都长出了钉状的牙齿。 

  

  图1四类滑翔哺乳动物:A滑翔有袋类,B鼯鼠,C鼯猴,D鳞尾松鼠(箭头示尾部鳞片)。来源:A Joe McDonald, B ALEXANDER V. BADYAEV, C chevans9, D Kika Lexova。

  为滑翔长出了翼膜、翼尖和大长腿 

  滑翔哺乳动物最有特色的结构就是翼膜系统了。最完整的翼膜系统由四部分组成:脖子和手臂前部之间的前翼膜,手指、脚趾之间的指翼膜,前后肢之间的侧翼膜和后肢后侧与尾巴之间的尾翼膜(图2)。 

  四类滑翔哺乳动物中,只有鼯猴同时具备四种翼膜,而剩下的三类都没有指翼膜。一个总体的趋势是,体重越大,翼膜的总面积越大,尾翼膜也越发达。 

  

  图2 四类滑翔哺乳动物的翼膜结构:A滑翔有袋类,B鼯鼠,C鼯猴,D鳞尾松鼠。来源《Gliding Mammals of the World》(Jackson and Schouten 2012)

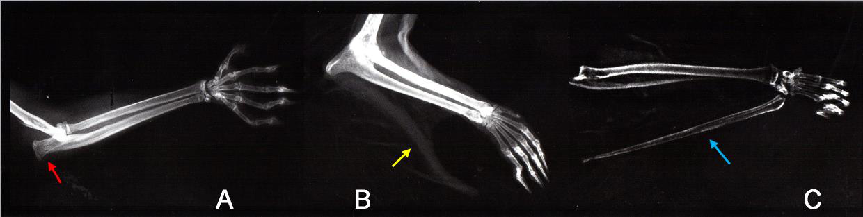
  第二个为滑翔而生的结构是翼尖,就是手臂外侧向外进一步伸出一个附属结构。从这个特征可以看出几类滑翔哺乳动物的区别,同时也是它们来自不同祖先的证据:鼯猴没有翼尖结构(图2C);大部分滑翔有袋类也没有(图2A左),但其中一种大袋鼯(Petauroides volans)齿骨的鹰嘴突(肘关节外侧)延长并附生一个小的软骨刺(图2A右,图3A);鳞尾松鼠也是在齿骨的鹰嘴突向外伸出一根大的钩状软骨(图2D,图3B);鼯鼠则是在腕关节外侧伸出一根大的柱状软骨(图2B,图3C)。 

  这些不同形式的翼尖作用都是在不延长前肢长度的情况下扩大翼膜面积,进而增加滑翔的效率和稳定性,类似平时我们坐飞机时看到飞机翅膀尖端那个可以上下摆动的结构。据测算翼尖可以降低飞行中20%的阻力,提升9%的升阻比。 

  

  图3 三种翼尖结构:A大袋鼯(滑翔有袋类)延长的齿骨鹰嘴突,B鳞尾松鼠肘部的钩状软骨,C鼯鼠腕部的柱状软骨。来源《Gliding Mammals of the World》(Jackson and Schouten 2012)

  除了翼膜和翼尖这两个最主要的滑翔适应外,滑翔哺乳动物的骨骼和尾也进行了相应的适应性进化。它们的骨骼(尤其是四肢骨)相比非滑翔的近缘种发生了明显的延长,这样就能附着更大面积的翼膜。 

  不论亲缘关系如何(鼯猴除外),滑翔哺乳动物的尾巴形状,都有“体型越小,尾巴侧扁;体型越大,尾形越向圆柱形转化”的趋势。鳞尾松鼠的尾巴腹面尾基1/4-1/3还生有很多粗糙的鳞片,据说有在降落和休息时防滑的作用(图1D)。 

  为什么要选择滑翔生活? 

  关于动物为什么要进化出滑翔这种运动方式主要有三种假说: 

  “捕食者假说”认为,飞行(滑翔)、穴居和夜行都能降低被捕食的风险。有研究发现,滑翔哺乳动物的寿命显著长于其非滑翔的近亲。但滑翔这种移动方式同时又将它们暴露在鸟类捕食者面前。这也许可以解释为什么所有滑翔哺乳动物都是夜行性,因为夜间活动的捕食性鸟类要明显少于日间。 

  “优化觅食假说”认为,花蜜、花粉、果实这类高质量的食物资源往往是分散分布于森林各处的,滑翔这种运动方式在访问这些分散的资源时,在时间和范围上都比其不会滑翔的亲戚更有优势。 

  “觅食代价假说”认为,“从第一棵树下到地面——地面的水平移动——爬上第二棵树”是一种高耗能的移动方式,而滑翔运动可以把每一次爬树所耗费的能量都部分地转化为水平移动,显然是一种更经济实惠的运动方式。但这也和动物的体重有关,据推算,滑翔效率最高的体重是400克,严重偏离这个值的滑翔哺乳动物都是低效的,甚至还不如其不会滑翔的“亲戚”。 

  这也许可以部分地解释为什么滑翔哺乳动物的体重都在13.5-2700克之间,但极值之间200倍的体重差异仍然暗示我们滑翔哺乳动物的空气动力学造诣还有很多未解之谜(图4、5)。

  

  图4 鼯猴采用“背越式”滑翔运动。来源《Gliding Mammals of the World》(Jackson and Schouten 2012)

  

  图5 另外三类滑翔哺乳动物采用“PUMA式”滑翔运动。来源《Gliding Mammals of the World》(Jackson and Schouten 2012)

  翼膜除了能滑翔外,有时候还可以充当雨伞和毯子,不用的时候可以收在体侧不影响日?;疃锍猓?。滑翔哺乳动物的前肢并没有像鸟类和蝙蝠一样高度特化,仍然能正常地爬树和抓握食物。正是这些诱人的好处,使得哺乳动物中的不同支系一次次地“飞”向天空。 

  滑翔哺乳动物的?;は肿?nbsp;

  滑翔哺乳动物虽然看起来有很强的移动能力,但是因为其树栖习性,一个超过其滑翔距离(30-60米)的空地就可能成为它们扩散的障碍。所以伐木和农业造成的栖息地破碎化对它们影响很大。此外,盗猎、宠物贸易和火灾也在一些地区形成威胁因素。 

  目前世界现生的65种滑翔哺乳动物种中,2种被IUCN评估为极度濒危,6种濒危,3种易危,5种近危,32种无危,11种数据缺乏,还有6种因为有分类争议而未予评估。澳大利亚为了协助滑翔有袋类通过较宽的马路,在道路两侧设置“桥梁”电线杆是一个有益的思路。 

  

图6 野味市场上被贩卖的鼯鼠。来源:Alex Hofford

  

  


Copyright © 2018- 中国科学院昆明动物研究所 .All Rights Reserved
地址:云南省昆明市盘龙区茨坝街道龙欣路17号  邮编:650201
电子邮件:yangxi@mail.kiz.ac.cn
滇ICP备05000723-1号       滇公网安备 53010202000920号